Recent Articles
Dispatches from the GUILD Conference, Series #74
Fertility and Use of Assisted Reproductive Technology among Women with InflammatoryBowel Disease: A Practical Guide
Women with Inflammatory Bowel Disease (IBD) increasingly utilize assisted reproductive technologies (ART), such as in vitro fertilization (IVF) and oocyte cryopreservation. Women with active IBD or a history of pelvic […]
Nutrition Reviews in Gastroenterology, SERIES #31
Disorders of Gut-Brain Interaction: Behavioral Therapies and Integration of the GI-Psychologist and GI-Registered Dietitian Care
Effective management of Disorders of Gut-Brain Interaction (DGBIs) often requires an interdisciplinary approach that extends beyond the gastrointestinal (GI) provider. DGBIs are characterized by dysregulation of the gut–brain axis, and […]
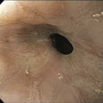
Frontiers in Endoscopy, Series #105
Endoscopic Duodenal Mucosal Resurfacing
With prevalence of type 2 diabetes and metabolic dysfunction-associated steatotic liver disease (MASLD) rising in parallel, there is an increased need for alternatives to surgical and pharmacological treatments for these […]
from the pediatric literature
Capsule Endoscopy Yield in Pediatric Patients
Video capsule endoscopy (VCE) uses a small, wireless, capsule camera that is swallowed or placed endoscopically to evaluate the entirety of the gastrointestinal (GI) tract often beyond the reach of […]
Dispatches from the GUILD Conference, Series #73
Prevention and Management of Postoperative Crohn’s Disease
Postoperative recurrent Crohn’s disease is common and often clinically silent at onset, requiring objective assessments for diagnosis and surveillance. Patients with a history of multiple bowel resections, penetrating disease, or […]
Nutrition Reviews in Gastroenterology, SERIES #30
Racial and Ethnic Disparities in Dietary Patterns and Micronutrient Supplementation
Dietary disparities among racial and ethnic minority populations contribute significantly to chronic disease burdens across the lifespan. This review synthesizes evidence on dietary behaviors among middle-aged and older adults, adolescents, […]
Frontiers in Endoscopy, Series #104
Boerhaave Syndrome: An Updated Review with an Emphasison Endoscopic Treatments
Introduction Spontaneous rupture of the esophagus is also known as Boerhaave syndrome after the Dutch physician who first described it in 1724.1 Historically, Boerhaave syndrome was considered uniformly fatal. Boerhaave […]
Dispatches from the GUILD Conference, Series #72
Computer-Aided Detection in Colonoscopy: Promise, Performance, and Real-World Questions
Computer aided polyp detection (CADe) is one of the most heavily studied applications of artificial intelligence in clinical medicine and may serve as a valuable adjunct for gastrointestinal endoscopists. Randomized […]
INTRODUCTION: DISPATCHES FROM THE GUILD CONFERENCE
Introduction: Dispatches from the 10th Annual GUILD Conference 2026
Welcome to the tenth annual Dispatches from the GUILD Conference series. The Gastrointestinal Updates-IBD-Liver Disease (GUILD) Conference is an annual CME conference held in Maui, Hawaii every February (GUILD 2026: […]
Fellows’ Corner
by Archit Garg The patient, a 46-year-old woman, came to the emergency room with three blisters on her right leg, which had appeared a week prior and were getting bigger. […]
A Case Report
Chalk Pica Presenting as Hypercalcemia-Induced Pancreatitis
by Bhaavya Pinnala, Sindhu Naresh, Saleha Asghar Acute pancreatitis is most commonly associated with gallstone disease, chronic alcohol use or hypertriglyceridemia while metabolic abnormalities such as hypercalcemia are far less […]
Frontiers in Endoscopy, Series #103
Ergonomics in Endoscopy
Introduction Musculoskeletal injuries are prevalent among healthcare workers. Proceduralists, such as gastroenterology (GI) endoscopists, require repetitive and often unnatural movements while maneuvering endoscopes and colonoscopes. The frequent stress and forces […]
NUTRITION REVIEWS IN GASTROENTEROLOGY
Thank You to the 2025 Peer Reviewers of the Nutrition Reviews in Gastroenterology Series
Thank you to the 2025 Peer Reviewers of the Nutrition Reviews in Gastroenterology SeriesWe extend our sincere appreciation to the reviewers of the 2025 Nutrition Reviews inGastroenterology series for their […]
Medical Bulletin Board
American Liver Foundation Celebrates 50 Years of Advancing Liver Health Nationwide
Honoring Five Decades of Progress, Commitment, and Support for Liver Patients (Fairfield, NJ – Jan. 5, 2026) – American Liver Foundation (ALF) proudly announces its 50th anniversary, marking five decades […]
From the Pediatric Literature
Congenital Hepatic Hemangiomas in Children
Most hepatic hemangiomas in infants are benign and are typically divided into two groups: 1) focal hepatic hemangiomas which are congenital and limited in size and 2) infantile hepatic hemangiomas […]
FRONTIERS IN ENDOSCOPY, SERIES #102
Electrohydraulic Lithotripsy for Biliary and Pancreatic Stones
Electrohydraulic lithotripsy (EHL) has emerged as a vital adjunct to endoscopic retrograde cholangiopancreatography (ERCP), providing an effective means of fragmenting large, impacted, or otherwise difficult-to-extract stones within the pancreatic and […]
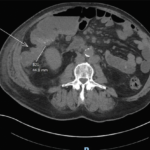
A Case Report
A Rare Case of Cutaneous Metastasis from Colon Cancer
Colorectal cancer remains the third most common cancer and second most common cause of cancer deaths, often from metastatic disease.1-6 While liver metastases are most common, other sites of metastases […]
Nutrition Reviews in Gastroenterology, SERIES #29
Nutrition Management for Functional Dyspepsia
Functional dyspepsia (FD) is a common disorder of the gut-brain interaction characterized by bothersome symptoms including postprandial fullness, early satiation, epigastric pain, and epigastric burning, without structural disease. Despite its […]
Frontiers in Endoscopy, Series #101
Topical Endoscopic Hemostatic Agents for Gastrointestinal Bleeding
Background Gastrointestinal bleeding (GIB) is associated with significant morbidity and mortality. Despite improved endoscopic practices for GIB, approximately 8-15% of patients fail primary endoscopic therapy, which includes injection, thermal, and […]
Liver Disorders, SERIES #20
Beyond Jaundice Part 2: Recognizing Dermatologic Findings in Chronic Liver Diseases
Chronic liver disease is often accompanied by cutaneous findings indicative of underlying pathology. However, in addition to the many widely-known and recognizable dermatologic manifestations, there exists a multitude of subtle, […]
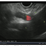
Frontiers in Endoscopy, Series #100
Pancreaticobiliary Endoscopic Ultrasound: How We Do It
Introduction Endoscopic ultrasound (EUS) has evolved into an indispensable tool in the evaluation and management of pancreaticobiliary diseases. Over 40 years ago, EUS was developed as a radial scanner, providing […]
Nutrition Reviews in Gastroenterology, SERIES #28
The Role of the Mediterranean Diet Pattern in Treatment and Management of Metabolic Dysfunction-Associated Steatotic Liver Disease
Metabolic dysfunction-associated steatotic liver disease (MASLD) is defined by excessive hepatic fat accumulation in individuals without significant alcohol intake. Previously termed non-alcoholic fatty liver disease (NAFLD), this condition included nonalcoholic […]
Special Article
Factors Predicting Patient Follow-Up in Clinic After Anorectal Manometry for Defecatory Disorders in a Community Hospital
Anorectal manometry (ARM) diagnoses anorectal sensorimotor disorders, and biofeedback therapy (BT) is an evidence-based treatment. We conducted a retrospective study at a community hospital to assess factors predicting patient follow-up […]
Liver Disorders, SERIES #19
Beyond Jaundice Part 1: Identifying and Describing Cutaneous Manifestations of Hepatitis and Cirrhosis
Dermatologic findings are common in liver disease, and may represent the very earliest or most prominent signs of an underlying disorder. While most practitioners recognize jaundice as a sign of […]
From the Pediatric Literature
Eosinophilic Esophagitis in Pediatric Patients Receiving Infliximab
The treatment of pediatric inflammatory bowel disease (IBD) has improved markedly with the use of biologic therapy which includes such medications as infliximab. Although infliximab has been used for some […]
Frontiers in Endoscopy, Series #99
Post-Sphincterotomy Bleeding: Incidence, Risk Factors, and Management
Introduction Endoscopic retrograde cholangiopancreaticography (ERCP) is a commonly used therapeutic procedure for diagnostic and therapeutic purposes for various pancreatic-biliary pathologies. Endoscopic sphincterotomy (ES) is a requirement for many biliary interventions. […]
Dispatches from the GUILD Conference, Series #71
Global Consensus Statement for the Management of Inflammatory Bowel Disease in Pregnancy: Implications for the Gastroenterologist
The management of inflammatory bowel disease (IBD) during pregnancy presents unique challenges, requiring a balance between maternal health, disease control, and fetal well-being. A global consensus conference, led by a […]
Liver Disorders, SERIES #18
Understanding New Nomenclature in Advanced Chronic Liver Disease
As understanding of disease processes in medicine evolves, terminology must often evolve too. Terminology related to cirrhosis has been changing to better capture the spectrum of liver disease and patients’ […]
Nutrition Reviews in Gastroenterology, SERIES #27
Gentler Solutions: Adapting the Low FODMAP Elimination Diet for Irritable Bowel Syndrome for Symptom Relief
Irritable Bowel Syndrome (IBS) is a common gastrointestinal (GI) disorder marked by abdominal pain, bloating, and altered bowel habits. Dietary changes are key to managing symptoms, with the low-FODMAP diet […]
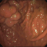
Frontiers in Endoscopy, Series #98
Endoscopic Ultrasound-Guided Therapy for Gastric Varices: Current Evidence and Emerging Perspectives
1. Introduction Gastric varices (GV) are a serious complication of portal hypertension, present in about 20% of cirrhotic patients compared to up to 85% with esophageal varices (EV).1,2 Though less […]
DISPATCHES FROM THE GUILD CONFERENCE, SERIES #70
Use of Beta-blockers in Patients with Cirrhosis
Non-selective beta-blockers improve outcomes in patients with cirrhosis and are recommended in(1) compensated cirrhosis and CSPH (to prevent decompensation), (2) decompensated cirrhosiswithout prior episodes of VH (to prevent first VH), […]
NUTRITION REVIEWS IN GASTROENTEROLOGY, SERIES #26
From Diagnosis to Treatment: Iron Management in Adults with Gastrointestinal Disorders
Iron deficiency anemia (IDA) affects about one-third of the global population and has a significant impact on individuals with gastrointestinal (GI) disorders. Its multifactorial etiology includes chronic inflammation, impaired nutrient […]
Frontiers in Endoscopy, Series #97
ROSE Versus MOSE for Evaluationof EUS – Guided Tissue Samples
Endoscopic ultrasound-guided fine-needle aspiration (EUS-FNA) with rapid on-site evaluation (ROSE) has been a subject of debate over the past few decades. With the development of new core needles, endoscopic ultrasound-guided […]
Nutrition Reviews in Gastroenterology, SERIES #25
Volume-Based Feeding’s Place in the Modern Intensive Care Unit
Underfeeding in the intensive care unit (ICU) is a well-documented issue affecting patient outcomes. Volume-based feeding (VBF) represents a feeding protocol designed to mitigate the effects of frequent enteral nutrition […]
SPECIAL ARTICLE
Malignant Tumors of the Small Intestine: A Case Series and Review of the Literature
Small bowel neoplasms are uncommon gastrointestinal malignancies, but their incidence has risen in recent years. The main subtypes include adenocarcinoma and neuroendocrine tumors, each accounting for approximately 40% of cases, […]
Rohit Khanna
Uma Mahadevan
Anjali Pandit Bokota
Kristen Kimble
Bethany Doerfler
Sara H. Marchese
Moriah Glennon
Douglas G. Adler
Benjamin Click
Miguel Regueiro
Alexander W. Worix
Edwin McDonald
Taranika Sarkar Das
Tasnim Ahmed
Stephen Le Breton
Tyler M. Berzin
Christina M. Minami
Neha D. Shah
Elizabeth Wall
Vatsal Khanna
Sophia Scattaglia
Nancee Jaffe
Magnus Chun
Olivia Babich
Alexandra Savage
Jennifer L. Maranki
Jennifer C. Lai
Misha Gautam
Utkarsh Goel
Abbas Bader
Vinay Jahagirdar
Esmat Sadeddin
Hassan Ghoz
Archit Garg
Arushi Kohli
Cierra Smith
Michael Babich
Kate Scarlata
Khyati Bidani
Nicolas Chong Lugon
Guadalupe Garcia-Tsao
Sasathorn Thongkhao-On
Holly Estes-Doetsch
Kristen M. Roberts
Janine Wong Berta
Daniel Kurtz
Sharon Slomovich
Mahnoor Khan
Neal Shah
Frank G. Gress